本期為您推薦齊魯工業大學徐振上老師研究團隊發表在知名期刊《LWT - Food Science and Technology》上的一篇文章:High-level secretory production of lysostaphin in Escherichia coli mutant by codon optimization and atmospheric and room temperature plasma mutagenesis.?
文章摘要內容如下:
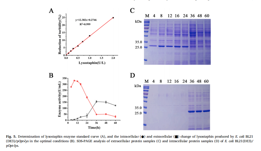
? ? ??溶葡萄球菌酶是一種抗菌劑,可以特異性地溶解金黃色葡萄球菌的細胞壁,因此具有預防金黃色葡萄球菌引起的食物腐敗的潛力,但它天然來源的產量低,且模仿葡萄球菌屬于致病菌,不適合工業發酵生產。
? ? ??本研究將溶葡萄球菌酶編碼基因進行密碼子優化(Opt-lys),然后連接到pET-22b(+)載體中,在大腸桿菌BL21(DE3)中實現異源表達,結果顯示溶葡萄球菌酶也可被大腸桿菌分泌到細胞外。基于此,本研究建立了一種利用雙層平板篩選分泌性溶葡萄球菌酶突變體的高通量篩選方法。結合常壓室溫等離子體(ARTP)誘變方法,獲得了細胞外活性最高的菌株BL21(DE3)/pOpt-lys4-18。經過發酵條件優化后,確定其最大胞外活性為155.3U/mL,胞外蛋白濃度達到442.26 mg/L。因此,本研究提供了一種能夠高效生產溶葡萄球菌酶的重組菌株和更好的突變體篩選方法,為溶葡萄球菌酶的應用和研究奠定了基礎。
文章精彩內容如下:


本期為您推薦齊魯工業大學徐振上老師研究團隊發表在知名期刊《LWT - Food Science and Technology》上的一篇文章:High-level secretory production of lysostaphin in Escherichia coli mutant by codon optimization and atmospheric and room temperature plasma mutagenesis.?
文章摘要內容如下:
? ? ??溶葡萄球菌酶是一種抗菌劑,可以特異性地溶解金黃色葡萄球菌的細胞壁,因此具有預防金黃色葡萄球菌引起的食物腐敗的潛力,但它天然來源的產量低,且模仿葡萄球菌屬于致病菌,不適合工業發酵生產。
? ? ??本研究將溶葡萄球菌酶編碼基因進行密碼子優化(Opt-lys),然后連接到pET-22b(+)載體中,在大腸桿菌BL21(DE3)中實現異源表達,結果顯示溶葡萄球菌酶也可被大腸桿菌分泌到細胞外。基于此,本研究建立了一種利用雙層平板篩選分泌性溶葡萄球菌酶突變體的高通量篩選方法。結合常壓室溫等離子體(ARTP)誘變方法,獲得了細胞外活性最高的菌株BL21(DE3)/pOpt-lys4-18。經過發酵條件優化后,確定其最大胞外活性為155.3U/mL,胞外蛋白濃度達到442.26 mg/L。因此,本研究提供了一種能夠高效生產溶葡萄球菌酶的重組菌株和更好的突變體篩選方法,為溶葡萄球菌酶的應用和研究奠定了基礎。
文章精彩內容如下:






